Menopausa: quando a terapia hormonal é indicada?
A menopausa é uma fase em que a mulher deixa de produzir os hormônios sexuais femininos. Os sintomas característicos da menopausa podem ser sentidos quando a menstruação começa a falhar ou ter intervalos mais longos. Apenas se considera menopausa quando a mulher leva...
Mulher que não consegue ter penetração vaginal: o que pode ser?
A relação sexual envolve muito mais do que penetração vaginal, certo? Sim. Mas quando uma mulher gostaria de passar pela experiência de ter uma penetração vaginal e não consegue, muitas vezes causa angústia e sofrimento. Não ter penetração vaginal porque não gosta ou...
Laser vaginal: como funciona e para que serve
O laser é uma tecnologia bastante utilizada por médicos ginecologistas, com bons resultados e com segurança, quando utilizado por profissionais experientes e habilitados. No laser vaginal, um feixe de luz aquece os tecidos e tem capacidade de cortar, vaporizar,...
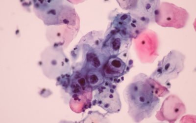
Como se pega HPV?
Como se pega HPV? HPV (Papiloma Vírus Humano) é um vírus muito fácil de ser transmitido e por consequência, de ser adquirido. O HPV é passado de pessoa para pessoa principalmente pelo contato sexual, sem precisar de penetração ou ejaculação para ocorrer a transmissão....
Qual é a melhor pílula anticoncepcional?
As pílulas ou contraceptivos hormonais são as ferramentas mais usadas para não engravidar. Foram as pílulas que permitiram o sexo pelo sexo, pelo prazer, e não para procriação. Comprimidos pequenos e fáceis de serem engolidos e escondidos. As pílulas anticoncepcionais...
Por que a vagina coça?
Por que a vagina coça? A vagina é um ambiente escuro, úmido e com uma temperatura geralmente mais quente quando comparada com outras partes do corpo. Convivem normalmente neste ambiente muitos fungos e bactérias que em equilíbrio preservam as características saudáveis...




